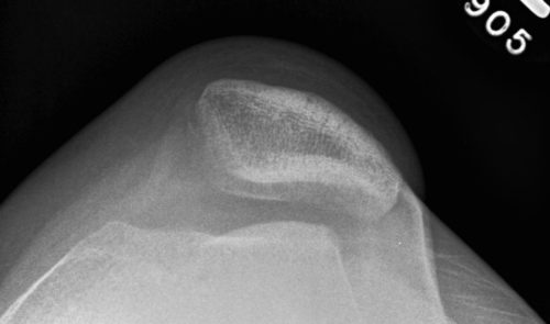
Patellar (patellofemoral) instability surgery